L'esthétique du sourire


Les facettes sont des pellicules de céramiques collées qui permettent de corriger des anomalies de forme, taille et position des dents.
Le résultat est invisible et durable dans le temps. C'est une solution qui permet de sublimer votre sourire.
Nous vous proposons un projet sur mesure en fonction de vos désirs. Le projet prothétique permet la plupart du temps de simuler notre proposition en l'appliquant sur vos dents sans y toucher.
Vous pourrez ainsi appréhender votre nouveau sourire avant le début du traitement.

"Mais Docteur, est ce que une facette ça tient bien?"
Les colles de dernière technologies permettent d'assurer une adhésion comparable de celle de l'émail à la dentine (1).
La dent et la facette forment une réelle entité
(1) Revue de littérature PEUMANS et VN MEEBEEK
Les facettes ne se décollent pas lors d'une alimentation ou un usage normal.


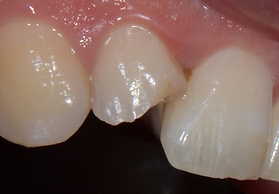
Fracture d'une dent, après une chute à vélo.
Après une analyse esthétique et une prise en compte des souhaits du patient, nous avons décidé de conserver la position de la dent d'avant.
La reproduction des caractérisation rend la facette invisible.
![]() |
|---|
![]() |
![]() |
Reconstruction d'une dent avec un composite par une facette.



